شکست و عدم موفقیت در ایمپلنت دندان اگرچه با توجه به درصد موفقیت بالای این درمان، پدیده ای نسبتاً نادر است، اما میتواند برای بیمار تجربه ای ناخوشایند و پرهزینه باشد. درک علل و علائم این شکست، به بیماران کمک میکند تا با مراقبت های صحیح، ریسک بروز آن را به حداقل رسانده و در صورت وقوع، با اقدام به موقع، از عواقب جدی تر جلوگیری کنند. شکست ایمپلنت را میتوان به دو دسته اصلی تقسیم کرد:
- شکست زودهنگام که در چند هفته یا ماه اول پس از جراحی و قبل از جوش خوردن کامل ایمپلنت با استخوان رخ میدهد،
- شکست دیرهنگام که ماه ها یا سال ها پس از اتمام درمان و در حین عملکرد ایمپلنت اتفاق می افتد.
هر یک از این دو نوع شکست، دلایل و مکانیسم های متفاوتی دارند که از عوامل بیولوژیک گرفته تا مشکلات مکانیکی را در بر میگیرند. دکتر اشکان مصطفی نژاد دندانپزشک در نیاوران با تشخیص دقیق و انتخاب طرح درمان مناسب، ریسک شکست و عدم موفقیت در درمان ایمپلنت را به حداقل میرسانند.
بدانید: استفاده از کمپرس گرم بعد از ایمپلنت
فرم مشاوره و رزرو وقت
شکست و عدم موفقیت در ایمپلنت دندان چیست؟
شکست و عدم موفقیت در ایمپلنت دندان به هر وضعیتی اطلاق میشود که در آن، ایمپلنت کاشته شده قادر به انجام عملکرد طبیعی خود به صورت پایدار و بدون درد و التهاب نباشد یا به طور کامل ثبات خود را در استخوان فک از دست بدهد. به طور کلی، شکست ایمپلنت به دو دسته اصلی تقسیم میشود: شکست زودهنگام و شکست دیرهنگام.
- شکست زودهنگام (Early Failure) در دوره بهبودی اولیه، یعنی در چند هفته تا چند ماه اول پس از جراحی کاشت و قبل از اینکه ایمپلنت به طور کامل با استخوان جوش بخورد، رخ میدهد. در این حالت، فرآیند استئواینتگریشن به درستی اتفاق نمی افتد و ایمپلنت هرگز به ثبات لازم در استخوان دست پیدا نمیکند. این نوع شکست معمولاً با علائمی مانند درد، تورم مداوم و لقی ایمپلنت خود را نشان میدهد و اغلب نیازمند خارج کردن ایمپلنت است. علل اصلی آن معمولاً به عواملی مانند عفونت پس از جراحی، عدم ثبات اولیه کافی، گرم شدن بیش از حد استخوان در حین جراحی یا شرایط پزشکی خاص بیمار باز میگردد.
- شکست دیرهنگام (Late Failure) پس از اینکه ایمپلنت به طور کامل با استخوان جوش خورده و روکش بر روی آن نصب شده است، اتفاق می افتد. این نوع شکست ممکن است ماه ها یا حتی سال ها پس از اتمام درمان رخ دهد. در این حالت، ایمپلنتی که برای مدتی کاملاً موفق و باثبات بوده است، به تدریج ثبات خود را از دست میدهد. شایع ترین علت شکست دیرهنگام، بیماری پری ایمپلنتایتیس (عفونت و تحلیل استخوان پیشرونده در اطراف ایمپلنت) و یا اعمال نیرو های بیش از حد و نامناسب بر روی ایمپلنت (Overloading) است. پس زدن ایمپلنت دندان اصطلاحی است که اغلب برای هر دو نوع شکست به کار میرود.
بیشتر بدانید: تعویض ایمپلنت دندان | شکستن ایمپلنت دندان
-
علل اصلی شکست زودهنگام ایمپلنت دندان چیست؟
شکست زودهنگام ایمپلنت به معنای عدم موفقیت در برقراری پیوند بیولوژیک بین سطح ایمپلنت و استخوان فک است. چندین عامل میتوانند در این فرآیند ظریف اختلال ایجاد کرده و منجر به شکست شوند.
-
- عفونت پس از جراحی: نفوذ باکتری ها به محل جراحی در روز های اولیه، میتواند با ایجاد التهاب شدید، مانع از چسبیدن سلول های استخوان ساز به سطح ایمپلنت شود. رعایت دقیق بهداشت و مصرف آنتی بیوتیک های تجویز شده برای پیشگیری از این عارضه حیاتی است.
- عدم ثبات اولیه کافی: اگر ایمپلنت در زمان جراحی، گیرایی و ثبات مکانیکی اولیه کافی را در استخوان نداشته باشد (مثلاً به دلیل کیفیت پایین استخوان)، حرکات ریز آن (Micromotion) مانع از جوش خوردن خواهد شد.
- گرم شدن بیش از حد استخوان: دریل کردن استخوان برای ایجاد فضا برای ایمپلنت، باید با سرعت کنترل شده و با استفاده مداوم از سرم شستشو برای خنک کردن انجام شود. گرم شدن بیش از حد استخوان میتواند باعث مرگ سلول های استخوان ساز در آن ناحیه شود.
- شرایط پزشکی بیمار: بیماری های کنترل نشده مانند دیابت، پوکی استخوان شدید و ضعف سیستم ایمنی میتوانند فرآیند ترمیم را مختل کنند. ایمپلنت برای افراد دیابتی کنترل نشده ریسک بالایی دارد.
بیشتر بدانید: بریج بر پایه ایمپلنت | پری ایمپلنتایتیس
-
علل اصلی شکست دیرهنگام ایمپلنت دندان چیست؟
شکست دیرهنگام به از بین رفتن پیوندی اطلاق میشود که قبلاً با موفقیت برقرار شده بود. این نوع شکست معمولاً نتیجه عواملی است که در طول زمان بر روی ایمپلنت و بافت های اطراف آن تاثیر میگذارند. شایع ترین علت، پری ایمپلنتایتیس است. این بیماری یک فرآیند عفونی و التهابی مزمن است که به دلیل تجمع پلاک باکتریایی در اطراف ایمپلنت ایجاد میشود. این عفونت به تدریج استخوان حمایت کننده ایمپلنت را تخریب کرده و باعث ایجاد پاکت های عمیق و در نهایت، لقی ایمپلنت میگردد. عدم رعایت بهداشت صحیح، مهم ترین عامل در بروز این بیماری است.
دومین علت شایع، اعمال نیرو های بیش از حد (Overloading) بر روی ایمپلنت است. اگر پروتز (روکش یا بریج) به گونه ای طراحی شود که نیرو های جویدن را به صورت نامناسب و بیش از حد به ایمپلنت منتقل کند، این استرس مکانیکی مداوم میتواند باعث خستگی استخوان و تحلیل آن در اطراف گردن ایمپلنت شود. عادات دهانی مانند دندان قروچه (براکسیسم) نیز میتوانند نیرو های مخرب و شدیدی را به ایمپلنت وارد کرده و در بلند مدت باعث شکست آن شوند. در موارد نادر، شکست مکانیکی اجزای ایمپلنت (مانند شکستن پیچ یا خود فیکسچر) نیز میتواند عامل شکست دیرهنگام باشد. بهترین دندانپزشک تهران با طراحی صحیح پروتز، از این عارضه جلوگیری میکند.
لینک مفید: کاشت مجدد ایمپلنت

علائم و نشانه های شکست و عدم موفقیت در ایمپلنت دندان
شناسایی علائم هشدار دهنده شکست ایمپلنت به شما کمک میکند تا با اقدام به موقع، از پیشرفت مشکل جلوگیری کنید. این علائم میتوانند بسته به نوع و شدت مشکل، متفاوت باشند.
- احساس لقی یا حرکت در ایمپلنت: این مهم ترین و قطعی ترین نشانه شکست است. یک ایمپلنت سالم باید کاملاً ثابت و بدون هیچ گونه حرکتی باشد.
- درد، تورم یا خونریزی مداوم: وجود درد ضربان دار، تورم یا خونریزی لثه در اطراف ایمپلنت، به خصوص اگر مدت ها پس از جراحی رخ دهد، میتواند نشانه عفونت باشد.
- مشکل در جویدن یا احساس ناراحتی: اگر هنگام جویدن بر روی ایمپلنت احساس درد یا ناراحتی میکنید، این میتواند نشانه وجود التهاب یا مشکل در بایت باشد.
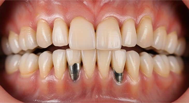
- تحلیل لثه و نمایان شدن رزو ها: عقب نشینی قابل توجه لثه که منجر به دیده شدن رزو های فلزی ایمپلنت میشود، نشانه تحلیل استخوان زیرین است.
- وجود ترشحات چرکی یا بوی بد: بوی بد دهان بعد از ایمپلنت که با طعم ناخوشایند یا مشاهده ترشحات چرکی همراه باشد، یک علامت واضح از وجود عفونت فعال است.
لینک مفید: تعداد ایمپلنت برای هر فک
نقش سیگار کشیدن در شکست و عدم موفقیت در ایمپلنت دندان
سیگار کشیدن یکی از بزرگترین و شناخته شده ترین عوامل خطر برای شکست و عدم موفقیت در ایمپلنت دندان است. تاثیرات مخرب نیکوتین و هزاران ماده سمی دیگر موجود در دود سیگار، تقریباً تمام مراحل بهبودی و نگهداری ایمپلنت را تحت تاثیر قرار میدهد. نیکوتین یک منقبض کننده قوی عروق است. این ماده باعث تنگ شدن عروق خونی کوچک در لثه و استخوان میشود و در نتیجه، جریان خون، اکسیژن و مواد مغذی را که برای ترمیم زخم و ساخت استخوان جدید حیاتی هستند، به شدت کاهش میدهد.
این کاهش اکسیژن رسانی، فرآیند حساس استئواینتگریشن را به طور مستقیم مختل کرده و ریسک شکست زودهنگام ایمپلنت را تا دو یا سه برابر افزایش میدهد. علاوه بر این، سیگار کشیدن عملکرد سلول های ایمنی بدن را تضعیف کرده و محیط دهان را برای رشد باکتری های مضر مستعدتر میسازد. این امر ریسک ابتلا به عفونت های پس از جراحی و همچنین بیماری پری ایمپلنتایتیس در بلند مدت را به طور قابل توجهی بالا میبرد. مطالعات علمی به وضوح نشان داده اند که تاثیر سیگار بر ایمپلنت دندان به قدری منفی است که بسیاری از متخصصان، جراحی ایمپلنت را برای افراد سیگاری شدید، یک ریسک بزرگ میدانند.
مقاله مفید: تعویض روکش و تاج ایمپلنت
آیا انتخاب نوع ایمپلنت در شکست و عدم موفقیت در ایمپلنت دندان تاثیر دارد؟
بله، انتخاب نوع و برند ایمپلنت میتواند در کاهش ریسک شکست، به خصوص در شرایط دشوار، تاثیرگذار باشد. اگرچه مهارت جراح مهم ترین عامل است، اما ویژگی های خود ایمپلنت نیز نقش ایفا میکند.
- تکنولوژی سطح ایمپلنت: بهترین برند های ایمپلنت دندان خارجی، دارای سطوح پیشرفته و فعال بیولوژیکی هستند که فرآیند جوش خوردن با استخوان را تسریع و تقویت میکنند. این ویژگی به خصوص در بیماران پرخطر (مانند افراد دیابتی یا سیگاری) میتواند شانس موفقیت را افزایش دهد.
- طراحی ایمپلنت: طراحی رزو ها و شکل بدنه ایمپلنت در دستیابی به ثبات اولیه بالا، که برای جلوگیری از شکست زودهنگام حیاتی است، نقش مهمی دارد.
- استحکام مکانیکی: برند های معتبر، محصولات خود را تحت تست های مکانیکی سختگیرانه ای قرار میدهند تا از استحکام آن ها در برابر شکستگی در بلند مدت اطمینان حاصل کنند.
- ایمپلنت زیرکونیا در برابر تیتانیوم: ایمپلنت زیرکونیا بهتر است یا ایمپلنت تیتانیوم؟ در بیمارانی که حساسیت بسیار نادر به تیتانیوم دارند، استفاده از ایمپلنت زیرکونیا میتواند از شکست ناشی از واکنش آلرژیک جلوگیری کند.
آشنا شوید: ورم صورت بعد از ایمپلنت
مقایسه شکست زودهنگام و دیرهنگام ایمپلنت
این جدول به طور خلاصه تفاوت های اصلی بین دو نوع اصلی شکست ایمپلنت را نشان میدهد.
|
ویژگی |
شکست زودهنگام (Early Failure) |
شکست دیرهنگام (Late Failure) |
|
زمان وقوع |
در دوره بهبودی (چند هفته تا چند ماه اول) |
پس از جوش خوردن کامل (ماه ها تا سال ها بعد) |
|
علت اصلی |
عدم برقراری استئواینتگریشن |
از بین رفتن استئواینتگریشن برقرار شده |
|
مکانیسم اصلی |
عفونت حاد، عدم ثبات اولیه، مشکلات جراحی |
پری ایمپلنتایتیس مزمن، بار گذاری بیش از حد |
|
علائم شایع |
درد مداوم، تورم، لقی ایمپلنت |
تحلیل لثه و استخوان، پاکت عمیق، لقی تدریجی |
|
پیشگیری |
انتخاب صحیح بیمار، تکنیک جراحی دقیق |
رعایت بهداشت بی نقص، طراحی صحیح پروتز |
راه های درمان شکست و عدم موفقیت در ایمپلنت دندان
رویکرد درمانی برای یک ایمپلنت ناموفق، به نوع، علت و شدت مشکل بستگی دارد. اولین قدم، تشخیص دقیق توسط متخصص ایمپلنت دندان است. اگر شکست از نوع زودهنگام باشد و ایمپلنت هرگز با استخوان جوش نخورده باشد، تنها راه حل، خارج کردن ایمپلنت است. جراح پس از خارج کردن ایمپلنت، محل را به طور کامل از هرگونه بافت عفونی یا ملتهب تمیز میکند. سپس، بسته به میزان استخوان باقیمانده، ممکن است بلافاصله یک ایمپلنت جدید با قطر بزرگتر کاشته شود یا اینکه محل با پودر استخوان پر شده و برای چند ماه به حال خود رها شود تا ترمیم گردد و در آینده برای کاشت مجدد آماده شود.
درمان شکست دیرهنگام پیچیده تر است. اگر مشکل ناشی از پری ایمپلنتایتیس در مراحل اولیه باشد، ممکن است بتوان با درمان های غیر جراحی و پاکسازی عمیق، بیماری را کنترل کرد. اما در مراحل پیشرفته تر، نیاز به جراحی لثه برای ایمپلنت دندان است. در این جراحی، سطح آلوده ایمپلنت تمیز و ضدعفونی شده و گاهی با بازسازی استخوان فک، نقص ایجاد شده ترمیم میشود. اگر تحلیل استخوان به حدی باشد که بیش از نیمی از طول ایمپلنت را درگیر کرده باشد، معمولاً پیش آگهی ضعیف بوده و بهترین راه حل، خارج کردن ایمپلنت است.
اطلاعات مفید: کاشت دندان طلا
چگونه میتوان از شکست و عدم موفقیت در ایمپلنت دندان پیشگیری کرد؟
پیشگیری همیشه بهتر، آسان تر و کم هزینه تر از درمان است. با رعایت چند نکته کلیدی، شما میتوانید شانس موفقیت درمان ایمپلنت خود را به حداکثر رسانده و ریسک شکست را به حداقل برسانید.
- انتخاب یک دندانپزشک متخصص و با تجربه: این مهم ترین قدم است. مهارت و تجربه جراح، نقش اصلی را در جلوگیری از عوارض حین عمل و تضمین یک کاشت دقیق و موفق دارد.
- ارائه تاریخچه پزشکی کامل: تمام شرایط پزشکی خود، به خصوص بیماری هایی مانند دیابت یا پوکی استخوان و دارو های مصرفی را به طور صادقانه با دندانپزشک خود در میان بگذارید.
- ترک سیگار: اگر سیگاری هستید، ترک آن بهترین کاری است که میتوانید برای موفقیت ایمپلنت خود انجام دهید.
- رعایت بی نقص بهداشت دهان و دندان: نحوه صحیح مسواک زدن بعد از ایمپلنت و استفاده روزانه از ابزار های تمیز کننده بین دندانی، حیاتی ترین اقدام برای جلوگیری از پری ایمپلنتایتیس است.
- انجام معاینات دوره ای منظم: حضور منظم در جلسات معاینات لازم پس از ایمپلنت دندان به تشخیص و درمان مشکلات در مراحل بسیار ابتدایی کمک میکند.
آیا پس زدن ایمپلنت دندان همیشه به معنای از دست دادن آن است؟
اصطلاح “پس زدن ایمپلنت دندان” اغلب توسط بیماران به کار میرود، اما از نظر علمی، مفهوم دقیقی ندارد. بدن به ندرت ایمپلنت تیتانیومی را “پس میزند” (واکنش آلرژیک). آنچه رخ میدهد، شکست در فرآیند جوش خوردن یا از بین رفتن این پیوند به دلیل عفونت یا فشار است. پاسخ به این سوال بستگی به مرحله ای دارد که مشکل در آن تشخیص داده میشود.
اگر مشکل در مراحل بسیار اولیه التهاب لثه (موکوزیت) تشخیص داده شود، با یک جرم گیری حرفه ای و بهبود بهداشت، میتوان آن را به طور کامل درمان کرده و از پیشرفت آن جلوگیری نمود. اگر بیماری به پری ایمپلنتایتیس اولیه با تحلیل استخوان جزئی تبدیل شده باشد، همچنان میتوان با درمان های جراحی و غیرجراحی، بیماری را متوقف کرده و ایمپلنت را برای سال های طولانی حفظ کرد. اما اگر تحلیل استخوان به مراحل پیشرفته رسیده و بخش قابل توجهی از حمایت استخوانی ایمپلنت از بین رفته باشد، دیگر نمیتوان ثبات آن را بازگرداند و در این حالت، شکست قطعی بوده و ایمپلنت باید خارج شود. بنابراین، اقدام به موقع پس از مشاهده اولین علائم، کلید نجات ایمپلنت است.

آیا امکان شکست و عدم موفقیت در ایمپلنت کامل فک وجود دارد؟
بله، اگرچه درمان هایی مانند ایمپلنت کامل فک (All-on-4) درصد موفقیت بسیار بالایی دارند، اما آن ها نیز از ریسک شکست مصون نیستند. شکست در این نوع درمان ها میتواند پیچیده تر و پرهزینه تر باشد. شکست میتواند مربوط به یکی از ایمپلنت های پایه یا کل سیستم باشد. اگر یکی از ایمپلنت های حمایت کننده پروتز دچار شکست شود (مثلاً به دلیل پری ایمپلنتایتیس)، ممکن است بتوان با خارج کردن همان ایمپلنت و کاشت یک ایمپلنت جدید در محلی دیگر، همچنان پروتز را حفظ کرد.
اما اگر چندین ایمپلنت دچار مشکل شوند یا طراحی اولیه پروتز باعث توزیع نامناسب نیرو و تحلیل گسترده استخوان شده باشد، ممکن است کل سیستم با شکست مواجه شود. عواملی مانند بهداشت ضعیف در زیر پروتز، سیگار کشیدن و بیماری های سیستمیک کنترل نشده، ریسک شکست را در این درمان های گسترده افزایش میدهند. به همین دلیل، انتخاب یک تیم درمانی بسیار با تجربه و تعهد کامل بیمار به رعایت بهداشت و چکاپ های منظم، برای موفقیت این درمان حیاتی است.
آیا تفاوتی در شکست و عدم موفقیت در ایمپلنت فک بالا و پایین وجود دارد؟
بله، به دلیل تفاوت های آناتومیک و کیفیت استخوان، الگو های شکست در فک بالا و پایین میتواند متفاوت باشد. استخوان فک پایین، به خصوص در ناحیه قدامی، بسیار متراکم تر و محکم تر است. این امر دستیابی به ثبات اولیه بالا را آسان تر کرده و ریسک شکست زودهنگام را کاهش میدهد. با این حال، فک پایین بیشتر تحت تاثیر نیرو های خمشی قرار دارد و ریسک شکست های مکانیکی (مانند شکستن پروتز) در آن ممکن است بیشتر باشد.
در مقابل، استخوان ایمپلنت فک بالا در ناحیه خلفی، بسیار نرم تر و اسفنجی تر است و همچنین وجود حفرات سینوس، چالش های بیشتری را ایجاد میکند. به دلیل کیفیت پایین تر استخوان، ریسک عدم دستیابی به ثبات اولیه کافی و در نتیجه، شکست زودهنگام در فک بالا کمی بیشتر است. همچنین، نیاز به جراحی های جانبی مانند لیفت سینوس در این فک، خود میتواند ریسک های خاصی را به همراه داشته باشد. یک دندانپزشک در جماران با درک این تفاوت ها، طرح درمان مناسب را برای هر فک انتخاب میکند.
هزینه های مرتبط با شکست و عدم موفقیت در ایمپلنت دندان چیست؟
شکست ایمپلنت نه تنها از نظر فیزیکی و روانی، بلکه از نظر مالی نیز میتواند تجربه ناخوشایندی باشد. هزینه های مرتبط با این مشکل به مرحله ای که شکست در آن رخ میدهد و روش درمانی مورد نیاز بستگی دارد. اگر شکست از نوع زودهنگام باشد، هزینه شامل خارج کردن ایمپلنت ناموفق و سپس هزینه بازسازی استخوان فک با مواد پیوندی برای آماده سازی مجدد محل است. پس از یک دوره بهبودی، بیمار باید هزینه کاشت یک ایمپلنت جدید را نیز بپردازد.
در موارد شکست دیرهنگام ناشی از پری ایمپلنتایتیس، اگر بتوان ایمپلنت را حفظ کرد، هزینه ها شامل درمان های تخصصی لثه، از پاکسازی عمیق گرفته تا جراحی های پیچیده برای ضدعفونی کردن سطح ایمپلنت و پیوند استخوان خواهد بود. اگر ایمپلنت قابل حفظ نباشد، هزینه ها مشابه شکست زودهنگام خواهد بود. سیاست های مربوط به گارانتی و تقبل هزینه ها توسط کلینیک نیز متفاوت است. به همین دلیل، انتخاب یک مرکز معتبر و آگاهی از شرایط درمان، برای مدیریت ایمپلنت اقساطی و هزینه های احتمالی آینده، بسیار مهم است.
جدول خلاصه عوامل خطر برای شکست ایمپلنت دندان
این جدول مهم ترین عوامل خطر مرتبط با بیمار و مرتبط با درمان را که میتوانند شانس شکست ایمپلنت را افزایش دهند، خلاصه میکند.
|
عوامل خطر مرتبط با بیمار |
عوامل خطر مرتبط با درمان |
|
سیگار کشیدن (مهم ترین عامل) |
تجربه و مهارت پایین جراح |
|
بهداشت دهان و دندان ضعیف |
طرح درمان نامناسب |
|
دیابت کنترل نشده |
کیفیت و کمیت پایین استخوان (بدون پیوند) |
|
سابقه بیماری پریودنتال شدید |
عدم ثبات اولیه ایمپلنت در حین جراحی |
|
ضعف سیستم ایمنی (مصرف دارو های خاص) |
طراحی نامناسب پروتز (ایجاد بار اضافی) |
|
دندان قروچه (براکسیسم) شدید |
استفاده از برند های ایمپلنت نا معتبر |
دریافت خدمات ایمپلنت و مدیریت عوارض در نیاوران
برای به حداقل رساندن ریسک شکست و عدم موفقیت در ایمپلنت، انتخاب یک مرکز تخصصی که توسط یک تیم مجرب اداره شود، از اهمیت فوق العاده ای برخوردار است. در منطقه نیاوران، بیمارانی که به دنبال بالاترین سطح از کیفیت و ایمنی در درمان خود هستند، میتوانند به کلینیک های پیشرفته ای مراجعه کنند که نه تنها در کاشت ایمپلنت، بلکه در مدیریت و درمان عوارض احتمالی آن نیز تخصص دارند. یک مرکز معتبر، قبل از هر اقدامی، با انجام یک ارزیابی جامع و دقیق، تمام عوامل خطر را برای شما بررسی کرده و یک طرح درمان واقع بینانه ارائه میدهد.
این مراکز با استفاده از تکنولوژی های مدرن مانند ایمپلنت دیجیتال، دقت جراحی را به حداکثر رسانده و با تنظیم برنامه های مراقبتی و معاینات منظم پس از عمل، سلامت بلند مدت ایمپلنت شما را تضمین میکنند. کلینیک دکتر اشکان مصطفی نژاد با تکیه بر دانش روز و تجربه بالا در انجام جراحی های پیچیده، آماده ارائه خدمات ایمپلنت با بالاترین ضریب اطمینان و همچنین مدیریت هرگونه عارضه احتمالی است. مراجعه به یک دندانپزشک در فرمانیه برای دریافت این سطح از خدمات، یک انتخاب هوشمندانه است.
خدمات تخصصی ایمپلنت دندان با دکتر مصطفی نژاد
برای دستیابی به نتیجه ای موفق و زیبا در درمان ایمپلنت، انتخاب یک کلینیک ایمپلنت در تهران که توسط تیمی مجرب اداره شود، ضروری است. دکتر اشکان مصطفی نژاد با ارائه خدمات جامع ایمپلنت، به شما در بازگرداندن لبخندی سالم و زیبا کمک میکنند.
- ایمپلنت در تهران: ارائه خدمات تخصصی ایمپلنت در کلینیک مجهز و مدرن واقع در شمال تهران با دسترسی آسان.
- ایمپلنت تک دندان: بهترین و محافظه کارانه ترین راه حل برای پر کردن جای خالی یک دندان بدون آسیب رساندن به ساختار دندان های مجاور.
- ایمپلنت دیجیتال: استفاده از تکنولوژی سه بعدی و راهنمای جراحی کامپیوتری برای جراحی دقیق تر، سریع تر، با حداقل تهاجم و کاهش عوارض پس از عمل.
- ایمپلنت با بیهوشی: فراهم آوردن شرایط درمانی کاملاً آرام و بدون استرس برای بیمارانی که دارای اضطراب شدید یا فوبیا دندانپزشکی هستند.
سایر خدمات دندانپزشکی دکتر مصطفی نژاد
علاوه بر درمان های تخصصی ایمپلنت، مجموعه کاملی از خدمات دندانپزشکی عمومی و زیبایی نیز برای پاسخگویی به تمام نیاز های بیماران و خلق یک طرح لبخند بی نقص ارائه میگردد.
- عصب کشی دندان: درمان تخصصی ریشه برای حفظ دندان های طبیعی شما.
- جرم گیری دندان: پاکسازی تخصصی پلاک و جرم برای حفظ سلامت لثه و درخشش دندان ها.
- کشیدن دندان: خارج کردن دندان های غیرقابل نگهداری با حداقل تروما به بافت های اطراف.
- پر کردن دندان: بازسازی دندان های آسیب دیده با مواد همرنگ و با دوام.
- اصلاح طرح لبخند: طراحی و اجرای یک برنامه کامل و ترکیبی برای رسیدن به لبخند ایده آل شما.
جهت مشاوره با دکتر مصطفی نژاد کافیست با شماره های مطب تماس گرفته و پاسخ خود را دریافت نمایید. همچنین میتوانید رزرو وقت را به صورت تلفنی و آنلاین انجام دهید.
نتیجه گیری
در نهایت، اگرچه شکست و عدم موفقیت در ایمپلنت دندان یک احتمال است، اما با دانش امروزی و با یک رویکرد پیشگیرانه، میتوان این ریسک را به حداقل ممکن رساند. موفقیت این درمان، یک خیابان دو طرفه است که یک سوی آن مهارت و تخصص تیم درمانی و سوی دیگر آن، تعهد و همکاری بیمار در رعایت اصول بهداشتی و مراقبتی قرار دارد. با انتخاب یک جراح با تجربه، ارائه یک تاریخچه پزشکی صادقانه، ترک عادات مضری مانند سیگار کشیدن و از همه مهم تر، پایبندی به یک روتین بهداشتی بی نقص و حضور در چکاپ های منظم، شما میتوانید با ضریب اطمینان بسیار بالایی، از مزایای ایمپلنت خود برای تمام عمر بهره مند شوید.
هرگز علائم هشدار دهنده ای مانند درد، خونریزی یا لقی را نادیده نگیرید. اقدام به موقع در مراحل اولیه، کلید درمان موفق مشکلات و نجات ایمپلنت شماست. با مراجعه به یک دندانپزشک در آجودانیه که به اصول پیشگیری و نگهداری بلندمدت اهمیت میدهد، میتوانید با آرامش خاطر، سلامت سرمایه گذاری درمانی خود را تضمین کنید.
سوالات متداول
آیا شکست ایمپلنت دردناک است؟
شکست زودهنگام معمولاً با درد و ناراحتی همراه است. اما شکست دیرهنگام ناشی از پری ایمپلنتایتیس، ممکن است در مراحل اولیه کاملاً بدون درد باشد و تنها علامت آن خونریزی لثه باشد.
آیا ممکن است بدن من به ایمپلنت حساسیت داشته باشد؟
حساسیت به ایمپلنت دندان تیتانیومی بسیار بسیار نادر است، اما غیرممکن نیست. در بیمارانی که سابقه آلرژی های شدید به فلزات دارند، برای اطمینان میتوان از ایمپلنت های سرامیکی (زیرکونیا) استفاده کرد.
اگر ایمپلنت من شکست بخورد، آیا میتوانم دوباره در همان محل ایمپلنت بکارم؟
در اکثر موارد بله. پس از خارج کردن ایمپلنت ناموفق و تمیز کردن کامل محل، جراح معمولاً ناحیه را با مواد پیوند استخوان بازسازی میکند. پس از یک دوره بهبودی چند ماهه، میتوان یک ایمپلنت جدید در استخوان بازسازی شده کاشت.
چه تفاوتی بین شکست ایمپلنت ایرانی و خارجی وجود دارد؟
اصول بیولوژیک شکست برای همه ایمپلنت ها یکسان است. اما بهترین برند های ایمپلنت دندان خارجی به دلیل پشتوانه علمی قوی تر و تکنولوژی پیشرفته تر، ممکن است در شرایط دشوار، ریسک شکست کمتری داشته باشند.
اگر ایمپلنت من لق شده باشد، آیا راهی برای سفت کردن آن وجود دارد؟
خیر، اگر خود پایه ایمپلنت (فیکسچر) در استخوان لق شده باشد، به معنای شکست کامل استئواینتگریشن است و هیچ راهی برای “سفت کردن” آن وجود ندارد. ایمپلنت باید خارج شود.
آیا ایمپلنت در دوران بارداری ریسک شکست بالاتری دارد؟
ایمپلنت در بارداری به دلیل تغییرات هورمونی که میتواند التهاب لثه را تشدید کند و همچنین محدودیت در عکسبرداری و مصرف داروها، توصیه نمیشود. این شرایط میتواند مدیریت عوارض و ریسک شکست را افزایش دهد.
آیا استرس میتواند باعث شکست ایمپلنت شود؟
استرس به طور مستقیم باعث شکست ایمپلنت نمیشود. اما استرس شدید میتواند منجر به عاداتی مانند دندان قروچه (براکسیسم) شود که اعمال نیروی بیش از حد ناشی از آن، یکی از دلایل شکست دیرهنگام ایمپلنت است.
منابع


