پیوند لثه

درخواست مشاوره

پیوند لثه

پیوند لثه که به آن جراحی پلاستیک پریودنتال نیز گفته میشود، یک راه حل درمانی بسیار موثر و پیشرفته برای بیمارانی است که دچار عقب نشینی یا تحلیل لثه شده اند. تحلیل لثه وضعیتی است که در آن، بافت لثه از اطراف دندان ها کنار رفته و باعث نمایان شدن سطح ریشه میشود. این پدیده نه تنها باعث ایجاد ظاهری ناخوشایند و بلندتر به نظر رسیدن دندان ها میشود، بلکه میتواند منجر به حساسیت شدید دندان به سرما و گرما، افزایش ریسک پوسیدگی ریشه و در موارد پیشرفته، تضعیف حمایت دندان و لقی آن گردد. جراحی پیوند لثه با هدف بازسازی بافت از دست رفته، پوشاندن مجدد ریشه های نمایان شده و ایجاد یک بافت لثه ضخیم، محکم و سالم در اطراف دندان ها یا ایمپلنت های دندانی انجام میگیرد.

دکتر اشکان مصطفی نژاد دندانپزشک در نیاوران با تخصص و مهارت در انجام این جراحی ظریف، به شما در بازگرداندن سلامت و زیبایی به لبخندتان کمک میکنند.

انیمیشن پریودنتیت (بیماری پیشرفته لثه)

فرم مشاوره و رزرو وقت

توجه داشته باشید که مطب دکتر اشکان مصطفی نژاد در تهران و منطقه نیاوران واقع شده است و تمامی خدمات دندانپزشکی به صورت حضوری است و مشاوره تلفنی و آنلاین نخواهند داشت.
مشاوره با دندانپزشک تهران

پیوند لثه چیست؟

پیوند لثه یک فرآیند جراحی میکروسکوپی در دندانپزشکی است که در طی آن، قطعه کوچکی از بافت نرم (معمولاً از سقف دهان بیمار) برداشته شده و به ناحیه ای که دچار کمبود یا تحلیل لثه است، پیوند زده میشود. هدف اصلی این جراحی، بازسازی و تقویت بافت لثه در اطراف دندان ها یا ایمپلنت های دندانی است. لثه سالم نقشی بسیار فراتر از زیبایی دارد؛ این بافت مانند یک طوقه محافظ، دندان ها را در آغوش گرفته و از قسمت حساس ریشه در برابر باکتری ها و تحریکات خارجی محافظت میکند. زمانی که این بافت تحلیل میرود، چندین مشکل به طور همزمان ایجاد میشود که پیوند لثه برای رفع آن ها طراحی شده است.

یکی از اصلی ترین دلایل انجام این جراحی، درمان تحلیل لثه و پوشاندن سطح ریشه نمایان شده است. ریشه دندان بر خلاف تاج، پوشش مینایی ندارد و بسیار نرم تر است. نمایان شدن آن باعث حساسیت شدید به دما و افزایش خطر پوسیدگی ریشه میشود. پیوند لثه با پوشاندن مجدد ریشه، این مشکلات را برطرف میکند. دلیل مهم دیگر، افزایش حجم “لثه چسبنده” یا “کراتینیزه” است. این نوع لثه، بافت محکم و صورتی رنگی است که به استخوان زیرین چسبیده و در برابر سایش و التهاب بسیار مقاوم است. کمبود این نوع لثه، به خصوص در اطراف ایمپلنت های دندانی، میتواند ریسک عفونت و شکست درمان را در بلندمدت افزایش دهد. پیوند لثه میتواند این بافت حیاتی را تقویت کند.

اطلاعات بیشتر: بازسازی استخوان فک | ریشه دندان شکسته

انواع اصلی جراحی پیوند لثه

جراحی پیوند لثه بر اساس نوع بافتی که برداشته میشود و هدف نهایی درمان، به چندین دسته اصلی تقسیم میشود. انتخاب بهترین تکنیک به شرایط خاص بیمار و تشخیص متخصص بستگی دارد.

  • پیوند بافت همبند (Connective Tissue Graft): این رایج ترین و موفق ترین روش برای پوشاندن ریشه های تحلیل رفته و افزایش ضخامت لثه است. در این تکنیک، جراح یک دریچه کوچک در سقف دهان ایجاد کرده و یک لایه نازک از بافت همبند را از زیر پوست آن برداشته و به ناحیه مورد نظر پیوند میزند.
  • پیوند آزاد لثه (Free Gingival Graft): در این روش، یک لایه سطحی و کامل از بافت لثه (شامل اپیتلیوم و بافت همبند) مستقیماً از سقف دهان برداشته میشود. این تکنیک بیشتر برای افزایش میزان لثه کراتینیزه در نواحی فاقد این بافت، مانند اطراف ایمپلنت کامل فک، استفاده میشود.
  • پیوند پایه دار (Pedicle Graft): در این روش، به جای برداشتن بافت از سقف دهان، از بافت لثه مجاور ناحیه تحلیل رفته استفاده میشود. بخشی از لثه کناری بریده شده، چرخانده شده و بر روی ریشه نمایان شده بخیه زده میشود، در حالی که پایه آن برای حفظ خونرسانی متصل باقی میماند.
  • استفاده از آلوگرفت ها (Allograft): در این روش های مدرن، به جای استفاده از بافت خود بیمار، از بافت های انسانی فرآوری شده و استریل که از بانک های بافتی تهیه میشوند، استفاده میگردد. این کار نیاز به ایجاد زخم دوم در سقف دهان را از بین میبرد.

مطلع باشید: نحوه خوابیدن بعد از ایمپلنت

چه کسانی به جراحی پیوند لثه نیاز دارند؟

نیاز به جراحی پیوند لثه میتواند ناشی از دلایل مختلفی باشد و طیف وسیعی از افراد ممکن است کاندیدای این درمان باشند. شایع ترین گروه، افرادی هستند که به دلیل بیماری پریودنتال (بیماری لثه) دچار تحلیل استخوان و لثه شده اند. اگرچه اولین قدم در درمان این افراد، کنترل عفونت از طریق جرم گیری عمیق یا جراحی لثه برای ایمپلنت دندان و دندان های طبیعی است، اما پس از آن ممکن است برای بازسازی بافت از دست رفته، نیاز به پیوند لثه باشد.

گروه دیگر، افرادی هستند که به دلیل عوامل مکانیکی دچار تحلیل لثه شده اند. مسواک زدن بیش از حد خشن و با مسواک های سفت، یکی از اصلی ترین این عوامل است. همچنین، افرادی که دارای دندان های نامرتب هستند یا عادت به دندان قروچه (براکسیسم) دارند، به دلیل توزیع نامناسب نیرو ها، ممکن است دچار تحلیل لثه شوند. عوامل ژنتیکی نیز در این امر بی تاثیر نیستند؛ برخی افراد به طور مادرزادی دارای بافت لثه نازک و آسیب پذیری هستند. در نهایت، بیمارانی که قصد انجام درمان های ارتودنسی یا کاشت ایمپلنت را دارند، ممکن است برای تقویت بافت لثه و پیشگیری از تحلیل آن در آینده، به عنوان یک اقدام پیشگیرانه، نیاز به جراحی پیوند لثه داشته باشند. بهترین دندانپزشک تهران میتواند نیاز شما را به طور دقیق تشخیص دهد.

آشنا شوید: نحوه صحیح مسواک زدن بعد از ایمپلنت

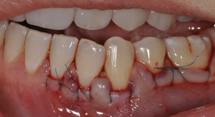
پیوند لثه

مراحل انجام جراحی پیوند لثه

اگرچه تکنیک های مختلفی برای جراحی پیوند لثه وجود دارد، اما مراحل کلی اکثر آن ها مشابه است و معمولاً تحت بی حسی موضعی در مطب دندانپزشکی انجام میشود. این فرآیند با یک برنامه ریزی دقیق آغاز میشود.

  • مرحله اول؛ مشاوره و آماده سازی: در جلسه اول، متخصص با معاینه دقیق و اندازه گیری میزان تحلیل لثه، نیاز شما به جراحی و بهترین تکنیک را مشخص میکند.
  • مرحله دوم؛ بی حسی کامل: در روز جراحی، اولین قدم، تزریق داروی بی حسی موضعی در ناحیه گیرنده (جایی که پیوند قرار است انجام شود) و ناحیه دهنده (معمولاً سقف دهان) است تا اطمینان حاصل شود که بیمار در طول عمل هیچ دردی احساس نمیکند.
  • مرحله سوم؛ آماده سازی بستر گیرنده: جراح با ایجاد برش های ظریف، یک بستر مناسب را در ناحیه تحلیل رفته برای پذیرش بافت پیوندی آماده میکند. این کار ممکن است شامل کنار زدن بافت لثه موجود باشد.
  • مرحله چهارم؛ برداشتن بافت پیوندی: اگر قرار است از بافت خود بیمار استفاده شود، جراح با دقت و مهارت، قطعه ای از بافت را به اندازه و ضخامت مورد نیاز از ناحیه سقف دهان برمیدارد و محل آن را بخیه یا با پانسمان مخصوص میپوشاند.
  • مرحله پنجم؛ قرار دادن و بخیه زدن پیوند: بافت پیوندی با دقت در بستر آماده شده قرار داده شده و با استفاده از بخیه های بسیار ظریف در جای خود محکم میشود تا در طول دوران نقاهت ایمپلنت دندان و پیوند لثه، ثابت باقی بماند.

بیشتر بدانید: پروتز متحرک

مراقبت های بعد از جراحی پیوند لثه

رعایت دقیق مراقبت های بعد از عمل، نقشی حیاتی در موفقیت پیوند لثه و جلوگیری از بروز عوارض دارد. این مراقبت ها به جوش خوردن صحیح بافت پیوندی و کسب بهترین نتیجه کمک میکنند. در ۲۴ تا ۴۸ ساعت اول، استراحت کامل و پرهیز از فعالیت های سنگین بدنی ضروری است تا از افزایش فشار خون و خونریزی جلوگیری شود. استفاده از کمپرس یخ بر روی صورت در ساعات اولیه میتواند به کنترل تورم کمک کند.

در زمینه تغذیه بعد از ایمپلنت دندان و پیوند لثه، شما باید برای حداقل یک هفته از یک رژیم غذایی نرم و خنک پیروی کنید. از خوردن غذا های داغ، تند، اسیدی و سفت که میتوانند باعث تحریک یا آسیب به ناحیه جراحی شوند، جداً خودداری کنید. مهم ترین بخش، رعایت بهداشت است. در روز اول از مسواک زدن و شستشوی دهان خودداری کنید. پس از آن، باید طبق دستور پزشک، از دهانشویه های ضدعفونی کننده (مانند کلرهگزیدین) برای تمیز نگه داشتن ناحیه استفاده کنید. مسواک زدن سایر دندان ها باید با دقت و به آرامی انجام شود.

هزینه جراحی پیوند لثه چقدر است؟

هزینه جراحی پیوند لثه به عوامل متعددی بستگی دارد و میتواند متغیر باشد. اصلی ترین عامل، وسعت ناحیه تحت درمان و تعداد دندان هایی است که نیاز به پیوند دارند. طبیعتاً، هزینه پیوند برای یک دندان به مراتب کمتر از هزینه درمان تحلیل لثه در چندین دندان است. عامل دوم، نوع تکنیک جراحی مورد استفاده است. به عنوان مثال، استفاده از آلوگرفت (بافت اهدایی) معمولاً هزینه بیشتری نسبت به استفاده از بافت خود بیمار دارد، زیرا هزینه تهیه و فرآوری این مواد نیز به هزینه نهایی اضافه میشود.

تخصص و تجربه جراح نیز یکی دیگر از فاکتور های مهم است. پریودنتیست ها (متخصصان لثه) که دوره های تخصصی پیشرفته ای را در زمینه جراحی های پلاستیک لثه گذرانده اند، معمولاً هزینه بالاتری نسبت به دندانپزشکان عمومی دریافت میکنند. موقعیت جغرافیایی کلینیک نیز میتواند بر قیمت تاثیرگذار باشد. برای اطلاع دقیق از هزینه، بهترین راه، مراجعه به یک متخصص ایمپلنت دندان یا پریودنتیست برای معاینه و دریافت یک طرح درمان کامل است.

اطلاعات مفید: بیماری های لثه

جدول مقایسه انواع اصلی جراحی های پیوند لثه

این جدول به طور خلاصه اهداف و کاربرد های انواع مختلف پیوند لثه را با یکدیگر مقایسه میکند تا درک بهتری از آن ها داشته باشید.

نوع جراحی

هدف اصلی

کاربرد اصلی

مزیت اصلی

پیوند بافت همبند

افزایش ضخامت لثه، پوشاندن تحلیل لثه

رایج ترین روش برای پوشش ریشه و زیبایی

نتایج زیبایی بسیار عالی و طبیعی، خونرسانی خوب

پیوند آزاد لثه

افزایش عرض لثه کراتینیزه (چسبنده)

تقویت لثه در نواحی بی دندان یا اطراف ایمپلنت

ایجاد یک بافت محکم و بسیار مقاوم در برابر تحلیل

پیوند پایه دار

پوشاندن تحلیل لثه در یک ناحیه محدود

در مواردی که لثه مجاور ضخامت کافی داشته باشد عدم نیاز به ایجاد زخم در سقف دهان

آلوگرفت

جایگزین بافت خود بیمار

در تمام موارد، به خصوص جراحی های وسیع

عدم نیاز به جراحی در ناحیه دهنده (سقف دهان)

آیا جراحی پیوند لثه دردناک است؟

این یکی از شایع ترین نگرانی های بیماران است و پاسخ کوتاه به آن “خیر” است، به شرطی که به درستی مدیریت شود. خود عمل جراحی کاملاً بدون درد است. جراح با استفاده از بی حسی موضعی، هم ناحیه گیرنده و هم ناحیه دهنده (سقف دهان) را به طور کامل بی حس میکند و شما در طول عمل هیچ دردی را احساس نخواهید کرد.

  • ناراحتی پس از عمل: پس از اتمام جراحی و از بین رفتن اثر بی حسی، طبیعی است که مقداری ناراحتی یا درد را تجربه کنید. معمولاً بیشترین ناراحتی مربوط به ناحیه سقف دهان است که بافتی از آن برداشته شده و ممکن است حسی شبیه به سوختگی پیتزا داشته باشد.
  • کنترل موثر درد: این درد و ناراحتی به راحتی با دارو های مسکن معمولی که توسط دندانپزشک شما تجویز میشود، قابل کنترل است.
  • کاهش درد و تورم: رعایت دقیق دستورالعمل های پس از عمل، مانند استفاده از کمپرس یخ، استراحت و پیروی از رژیم غذایی نرم، به کاهش چشمگیر درد و تورم کمک میکند.
  • استفاده از پانسمان: جراح معمولاً یک پانسمان محافظ یا یک استنت پلاستیکی بر روی زخم سقف دهان قرار میدهد که این امر نیز به کاهش ناراحتی در حین خوردن و آشامیدن کمک میکند. درد ایمپلنت دندان و پیوند لثه با مدیریت صحیح، کاملاً قابل تحمل است.

آیا پیوند لثه برای ایمپلنت دندان نیز انجام میشود؟

بله، پیوند لثه نقشی حیاتی و روزافزون در موفقیت بلند مدت و زیبایی ایمپلنت های دندانی ایفا میکند. اگرچه موفقیت اولیه ایمپلنت به جوش خوردن آن با استخوان بستگی دارد، اما دوام و سلامت آن در طول سالیان متمادی، به شدت به کیفیت و کمیت بافت لثه اطراف آن وابسته است.

  • ایجاد سد محافظ: وجود یک طوقه محکم و ضخیم از لثه کراتینیزه (چسبنده) در اطراف ایمپلنت، بهترین سد دفاعی در برابر نفوذ باکتری ها و تجمع پلاک است. این امر از بروز پری ایمپلنتایتیس (عفونت اطراف ایمپلنت) که عامل اصلی شکست دیرهنگام ایمپلنت هاست، جلوگیری میکند.
  • بهبود زیبایی: در ناحیه ایمپلنت دندان جلو، ضخامت کافی لثه برای پوشاندن رنگ خاکستری ایمپلنت تیتانیومی و ایجاد یک ظاهر طبیعی، ضروری است. پیوند لثه میتواند این ضخامت را فراهم کند.
  • پیشگیری از تحلیل لثه: با ایجاد یک بافت لثه مقاوم، میتوان از تحلیل آن در اطراف ایمپلنت در آینده جلوگیری کرد و از نمایان شدن اجزای فلزی ایمپلنت پیشگیری نمود.
  • زمان انجام پیوند: جراحی لثه برای ایمپلنت دندان میتواند قبل از کاشت، همزمان با آن، یا حتی پس از دوره بهبودی برای اصلاح مشکلات ایجاد شده، انجام شود.

آیا میتوانم بعد از پیوند لثه ورزش کنم؟

خیر، حداقل برای یک هفته اول باید از هرگونه فعالیت ورزشی شدید خودداری کنید. ورزش بعد از ایمپلنت و پیوند لثه میتواند باعث افزایش فشار خون و ضربان قلب شود. این امر ریسک خونریزی مجدد از ناحیه جراحی شده (هم ناحیه گیرنده و هم سقف دهان) را به شدت افزایش میدهد. فعالیت های سنگین همچنین میتوانند باعث افزایش تورم و ناراحتی شوند و فرآیند بهبودی را به تاخیر بیندازند.

پس از یک هفته و با تایید دندانپزشک، میتوانید به تدریج فعالیت های سبک مانند پیاده روی آرام را از سر بگیرید. برای بازگشت به ورزش های سنگین تر مانند وزنه برداری، دویدن شدید یا ورزش های تماسی، باید حداقل دو تا سه هفته صبر کرده و حتماً قبل از آن با جراح خود مشورت نمایید. گوش دادن به بدن و توقف فعالیت در صورت مشاهده هرگونه خونریزی یا احساس درد و ضربان در محل جراحی، یک اصل کلیدی است.

پیوند لثه

جایگزینی برای پیوند لثه از سقف دهان

بله، خوشبختانه با پیشرفت علم دندانپزشکی، جایگزین هایی برای بیمارانی که تمایلی به ایجاد زخم در سقف دهان خود ندارند یا به بافت پیوندی زیادی نیاز دارند، توسعه یافته است. اصلی ترین جایگزین، استفاده از آلوگرفت ها است. این ها بافت های همبند انسانی هستند که از اهدا کنندگان عضو تهیه شده، در بانک های بافتی معتبر، فرآوری، استریل و بسته بندی میشوند. جراح میتواند از این مواد آماده به جای برداشتن بافت از سقف دهان بیمار استفاده کند. این کار نه تنها ناراحتی پس از عمل را به شدت کاهش میدهد، بلکه به جراح اجازه میدهد تا نواحی وسیع تری را در یک جلسه درمان کند.

روش دیگر، تکنیک جراحی پین هول (Pinhole Surgical Technique) است. این یک روش کم تهاجمی است که در آن، جراح از طریق یک سوراخ بسیار کوچک، بافت لثه موجود را شل کرده و به سمت پایین میکشد تا ریشه نمایان شده را بپوشاند. این روش نیازی به برداشتن بافت پیوندی ندارد، اما تنها برای موارد خاصی از تحلیل لثه مناسب است. دندانپزشک در فرمانیه میتواند بهترین گزینه را برای شرایط شما پیشنهاد دهد.

آیا پیوند لثه همیشه موفقیت آمیز است؟

درصد موفقیت این جراحی، در صورتی که توسط یک متخصص مجرب انجام شود و بیمار مراقبت های لازم را رعایت کند، بسیار بالا است (بیش از ۹۰ درصد). موفقیت در این جراحی به معنای جوش خوردن کامل بافت پیوندی، برقراری خونرسانی مناسب و دستیابی به پوشش ریشه و افزایش حجم مورد نظر است.

با این حال، همانند هر روش پزشکی دیگری، موفقیت صد در صدی وجود ندارد و عواملی میتوانند بر نتیجه نهایی تاثیر بگذارند. مهم ترین عامل خطر، سیگار کشیدن است که میتواند به تنهایی شانس موفقیت را به شدت کاهش دهد. بیماری های کنترل نشده سیستمیک مانند دیابت نیز میتوانند فرآیند ترمیم را مختل کنند. مهارت جراح در آماده سازی بستر و ثابت کردن دقیق پیوند نیز نقش حیاتی دارد. علاوه بر این، رعایت دقیق دستورالعمل های مراقبتی پس از عمل توسط بیمار، برای جلوگیری از پس زدن ایمپلنت دندان و پیوند لثه، ضروری است.

آیا بعد از پیوند لثه میتوانم به طور عادی مسواک بزنم؟

بازگشت به روال عادی بهداشت دهان و دندان پس از جراحی پیوند لثه، باید به صورت تدریجی و با احتیاط کامل صورت گیرد تا به بافت پیوندی ظریف و در حال ترمیم، آسیبی وارد نشود. در ۲۴ ساعت اول، باید از هرگونه مسواک زدن یا شستشوی دهان خودداری کنید. از روز دوم تا زمان کشیدن بخیه ها (معمولاً یک تا دو هفته)، شما نباید به هیچ وجه ناحیه جراحی شده را مسواک بزنید. در این دوره، تمیز نگه داشتن ناحیه از طریق شستشوی ملایم با دهانشویه ضدعفونی کننده تجویز شده (مانند کلرهگزیدین) انجام میشود.

پس از کشیدن بخیه ها و با تایید دندانپزشک، شما میتوانید مسواک زدن در ناحیه جراحی شده را با یک مسواک بسیار نرم (Surgical Brush) و با حرکات بسیار ملایم و دورانی آغاز کنید. به تدریج و با گذشت چند هفته، با قوی تر شدن بافت لثه، میتوانید به روال عادی مسواک زدن خود بازگردید. بهداشت دهان و دندان مناسب در تمام طول دوره بهبودی، کلید جلوگیری از عفونت و کسب یک نتیجه موفق است.

جدول زمانی بهبودی پس از جراحی پیوند لثه

این جدول یک نمای کلی از فرآیند بهبودی پس از جراحی پیوند لثه را نشان میدهد. به یاد داشته باشید که این زمانبندی میتواند بر اساس وسعت جراحی و سرعت بهبودی فردی، متفاوت باشد.

بازه زمانی

اتفاقات کلیدی

اقدامات و مراقبت ها

هفته اول

کنترل درد و تورم، بهبودی اولیه زخم ها (ناحیه گیرنده و دهنده).

رژیم غذایی نرم و خنک، مصرف داروها، شستشو با دهانشویه، پرهیز از فعالیت شدید.

هفته دوم

کشیدن بخیه ها، کاهش قابل توجه علائم، شروع اتصال اولیه پیوند.

بازگشت تدریجی به بهداشت دهان عادی (با احتیاط بسیار)، ادامه رژیم غذایی نرم.

هفته سوم تا ششم

بلوغ تدریجی بافت پیوندی، بهبود رنگ و فرم لثه.

بازگشت آرام به رژیم غذایی عادی (با پرهیز از غذا های سفت در ناحیه).

ماه دوم تا سوم

تکمیل فرآیند بهبودی و یکپارچگی کامل پیوند با بافت های اطراف.

بازگشت کامل به عملکرد طبیعی، رعایت کامل بهداشت.

خدمات تخصصی درمان و پیوند لثه با دکتر مصطفی نژاد

سلامت لثه، پایه و اساس سلامت کلی دهان و دندان است. مشکلات مربوط به لثه میتوانند از التهاب ساده تا نیاز به جراحی  های پیچیده متغیر باشند. درک این مشکلات و روش های درمانی آن ها به شما کمک میکند تا با دیدی بازتر برای حفظ یا بازگرداندن سلامت لبخند خود اقدام کنید.

  • لثه حساس: حساس بودن لثه ها که معمولاً با درد خفیف، قرمزی و تورم هنگام مسواک زدن یا غذا خوردن خود را نشان میدهد، اغلب اولین نشانه التهاب لثه (ژنژیویت) به دلیل تجمع پلاک باکتریایی است.
  • خونریزی لثه: خونریزی لثه هنگام مسواک زدن یا استفاده از نخ دندان، هرگز طبیعی نیست و یک علامت هشدار جدی برای بیماری لثه محسوب میشود که نیازمند بررسی فوری توسط دندانپزشک است.
  • لیفت لثه: این روش که به آن ژنژیوکتومی نیز گفته میشود، یک جراحی زیبایی برای برداشتن بافت اضافی لثه و بلندتر نشان دادن دندان ها است که به طور موثری به درمان لبخند لثه ای کمک میکند.
  • جراحی لثه: این اصطلاح کلی به مجموعه وسیعی از درمان ها از جمله جراحی فلپ برای درمان پریودنتیت پیشرفته، افزایش طول تاج برای آماده سازی دندان جهت روکش، و سایر اقدامات تخصصی برای بازگرداندن سلامت به بافت های حمایت کننده دندان اطلاق میشود.
  • درمان لبخند لثه ای: برای بیمارانی که هنگام لبخند زدن، مقدار زیادی از لثه شان نمایان میشود، درمان لبخند لثه ای میتواند شامل روش های مختلفی از جمله لیفت لثه، افزایش طول تاج و گاهی تزریق بوتاکس برای اصلاح خط لبخند باشد.

خدمات تخصصی ایمپلنت دندان با دکتر مصطفی نژاد

برای دستیابی به نتیجه ای موفق و زیبا در درمان ایمپلنت، انتخاب یک کلینیک ایمپلنت در تهران که توسط تیمی مجرب اداره شود، ضروری است. دکتر اشکان مصطفی نژاد با ارائه خدمات جامع ایمپلنت، به شما در بازگرداندن لبخندی سالم و زیبا کمک میکنند.

  • ایمپلنت دندان: کاشت ایمپلنت با استفاده از بهترین برند های جهانی برای جایگزینی یک یا چند دندان.
  • ایمپلنت در تهران: ارائه خدمات در کلینیک مجهز و مدرن در شمال تهران برای راحتی و دسترسی بیماران.
  • ایمپلنت تک دندان: بهترین روش برای حفظ دندان های سالم مجاور و پر کردن جای خالی دندان از دست رفته.
  • ایمپلنت دیجیتال: استفاده از طراحی کامپیوتری و راهنمای جراحی برای افزایش دقت و کاهش دوره نقاهت.
  • ایمپلنت با بیهوشی: فراهم کردن شرایطی آرام و بدون استرس برای بیمارانی که دچار اضطراب شدید هستند.

جهت مشاوره با دکتر مصطفی نژاد کافیست با شماره های مطب تماس گرفته و پاسخ خود را دریافت نمایید. همچنین میتوانید رزرو وقت را به صورت تلفنی و آنلاین انجام دهید.

نتیجه گیری

در نهایت، پیوند لثه یک روش جراحی بسیار موثر و قابل پیش بینی برای درمان تحلیل لثه و تقویت بافت های نرم دهان است. این درمان نه تنها مشکلات جدی مانند حساسیت دندان و افزایش ریسک پوسیدگی ریشه را برطرف میکند، بلکه با بازگرداندن خط لثه به حالت طبیعی، تاثیر شگرفی بر زیبایی لبخند و اعتماد به نفس بیمار دارد. علاوه بر این، نقش این جراحی در افزایش موفقیت و دوام بلندمدت ایمپلنت های دندانی، انکارناپذیر است. اگرچه ممکن است این عمل در ابتدا کمی نگران کننده به نظر برسد، اما باید دانست که در دستان یک متخصص مجرب، یک روش ایمن با حداقل ناراحتی است.

مهم ترین عوامل برای کسب بهترین نتیجه، تشخیص صحیح، انتخاب تکنیک مناسب و از همه مهم تر، همکاری بیمار در رعایت دقیق مراقبت های پس از عمل است. اگر شما نیز از نمایان شدن ریشه دندان های خود، حساسیت آن ها یا ظاهر نامناسب لثه هایتان رنج میبرید، نگران نباشید. مراجعه به یک دندانپزشک در آجودانیه برای انجام مشاوره، اولین قدم شما برای آگاهی از امکانات این درمان فوق العاده و بازگرداندن سلامت و زیبایی به لبخندتان خواهد بود.

سوالات متداول

آیا جراحی پیوند لثه همیشه موفقیت آمیز است؟

درصد موفقیت این جراحی، در صورتی که توسط یک متخصص مجرب انجام شود و بیمار مراقبت های لازم را رعایت کند، بسیار بالا است (بیش از ۹۰ درصد). عواملی مانند سیگار کشیدن میتوانند شانس موفقیت را کاهش دهند.

آیا بعد از پیوند لثه میتوانم به طور عادی مسواک بزنم؟

شما باید برای حدود دو هفته از مسواک زدن مستقیم ناحیه جراحی شده خودداری کنید. پس از آن، میتوانید با یک مسواک بسیار نرم و با احتیاط فراوان، مسواک زدن را به آرامی از سر بگیرید. بهداشت دهان و دندان در این دوره بسیار مهم است.

تفاوت اصلی پیوند لثه و جراحی لیفت لثه چیست؟

پیوند لثه برای افزودن بافت و پوشاندن تحلیل لثه به کار میرود (یک جراحی افزایشی). در مقابل، لیفت لثه (ژنژیوکتومی) برای برداشتن بافت اضافی و درمان لبخند لثه ای استفاده میشود (یک جراحی کاهشی).

چه مدت بعد از پیوند لثه میتوانم ایمپلنت بکارم؟

این زمان به وسعت جراحی و سرعت بهبودی شما بستگی دارد. به طور کلی، باید حداقل ۳ تا ۴ ماه صبر کرد تا بافت لثه پیوندی به طور کامل بالغ و پایدار شود و سپس اقدام به کاشت ایمپلنت نمود.

آیا ممکن است بدن بافت پیوندی را پس بزند؟

اگر از بافت خود بیمار استفاده شود (اتوگرفت)، ریسک پس زدن تقریباً صفر است. در مورد آلوگرفت ها (بافت اهدایی) نیز، به دلیل فرآوری های پیشرفته، ریسک واکنش ایمنی بسیار بسیار پایین است. پس زدن ایمپلنت دندان و پیوند لثه نادر است.

آیا پیوند لثه از تحلیل بیشتر آن در آینده جلوگیری میکند؟

بله، یکی از اهداف اصلی این جراحی، ایجاد یک بافت لثه ضخیم و مقاوم است که در برابر عوامل ایجاد کننده تحلیل (مانند سایش مسواک) بسیار مقاوم تر از بافت اولیه باشد. این امر به حفظ طول عمر ایمپلنت دندان نیز کمک میکند.

آیا جایگزینی برای پیوند لثه از سقف دهان وجود دارد؟

بله، استفاده از آلوگرفت ها (بافت اهدایی) یک جایگزین عالی است که نیاز به ایجاد زخم در سقف دهان را از بین میبرد. همچنین تکنیک های دیگری مانند پین هول (Pinhole) نیز وجود دارند که در موارد خاص قابل استفاده هستند.

منابع

فهرست مطالب

دیدگاهتان را بنویسید

نشانی ایمیل شما منتشر نخواهد شد. بخش‌های موردنیاز علامت‌گذاری شده‌اند *